Community
전후화보사진바이브에서 수술한 고객분들의 생생한 전후화보사진을 만나보세요






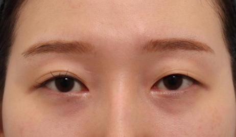
바이브성형외과에서
눈 , 코 재수술 2주 된 후기입니당
쌍꺼풀은 10년전에 매몰로 한번 수술 했었고
코는 3번째 수술이었어요 ..
10년이면 강산도 변한다는데
제 쌍꺼풀도 잘 버텨줬지만
왼쪽 쌍꺼풀이 엄청 풀려서
재수술은 절개로 마음먹었어요.
코수술은 첫번째 두번째 까지는
같은 병원에서 했었는데
코끝도 계속 처지고 매부리도 별로 효과가 없어서
두번이나 수술한 코로는 안 보이는 자연스러움이었어요 ^^
그래서 쌍꺼풀 하는김에 코수술까지
같이 해야겠다고 생각하고 손품을 팔았어요.
그 중 재수술 잘하기로 유명하고
화려한 코가 딱 제스타일이였던
바이브성형외과로 결정하게 되었습니다
눈코 같이 수술하고 일주일 동안 힘들었지만
부목 떼자마자 베일 것 같은 콧대가 너무 마음에 들어서
힘들었던 기억이 싹 사라졌어요 ㅎㅎ
기증늑으로 수술 했는데 하길 너무 잘했네요
처음 수술받자마자 붓기나 멍도 별로 없었어서
일주일만에 출근도 가능했어요 !
바이브 유영문 원장님한테
수술받길 너무 잘한것 같아요
눈코 너무 잘 해주셨어요 ㅎㅎ 최공
NAME : 손예은
2025.09.19
자려한라인으로 수술잘해주셨어요
NAME : 한수민
2025.09.15
눈,코재,이마거상 11개월차
NAME : 김세원
2025.09.09
복코성형 4개월차입니다!
NAME : 이유나
2025.09.03
매부리코성형 성공 ㅎ.ㅎ
NAME : 성다경
2025.08.26
코수술받고 자신감이 높아졌어요
NAME : 공윤정
2025.08.19
점점 자리잡고 있어 만족하며 지내요:)
NAME : 박선현
2025.08.13
눈, 코, 지방이식 만족후기~~
NAME : 이수정
2025.08.12
원하는 모양대로 코수술해주셨어요ㅎ.ㅎ
NAME : 이호윤
2025.08.06
바이브에서 수술받고 젊어졌어요~~~
NAME : 김영해
2025.07.29
유영문원장님이 예쁜 코 만들어 주셨어용><
NAME : 황현정
2025.07.23
저의 코버지 유원장님 감삼다~
NAME : 신슬빈
2025.07.21