Community
전후화보사진바이브에서 수술한 고객분들의 생생한 전후화보사진을 만나보세요







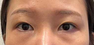
바이브성형외과 유영문 원장님께 눈하고 코재수술 받은지
벌써 3개월 차..
용코(콧구멍보임+비대칭), 쳐진 비주, 낮고 뭉툭한 코끝,
답답해 보이는 속쌍꺼풀 총체적 난국이었죠..
지금은 어느 정도 자리도 잡고 변한 제 모습에 익숙해졌답니다. 특히 코가 많이 높아졌어요!!!!!
처음 수술하고 낮고 작은 코를 최대한 높은 코로, 너무 화려하지 않지만 저한테 어울리면서 잘 맞게 잘 된거 같아요.
주위 지인들도 코 너무 잘 됐다고, 어디서 했냐고~
그리고 눈도 답답해 보이는 부분을 시원하게 만들어주셨어요!! 근데 절개다 보니 잔붓기가 남아있어서 왼쪽 오른쪽이 다르게 빠지고 있어 경과 보면서 지켜보려구요!
총체적 난국인 제 눈과 코를 변화시켜주신 바이브성형외과 유영문 원장님 너무 감사합니다!! 그리고 원장님 너무 친절해요!!!!
눈코 너무 잘 해주셨어요 ㅎㅎ 최공
NAME : 손예은
2025.09.19
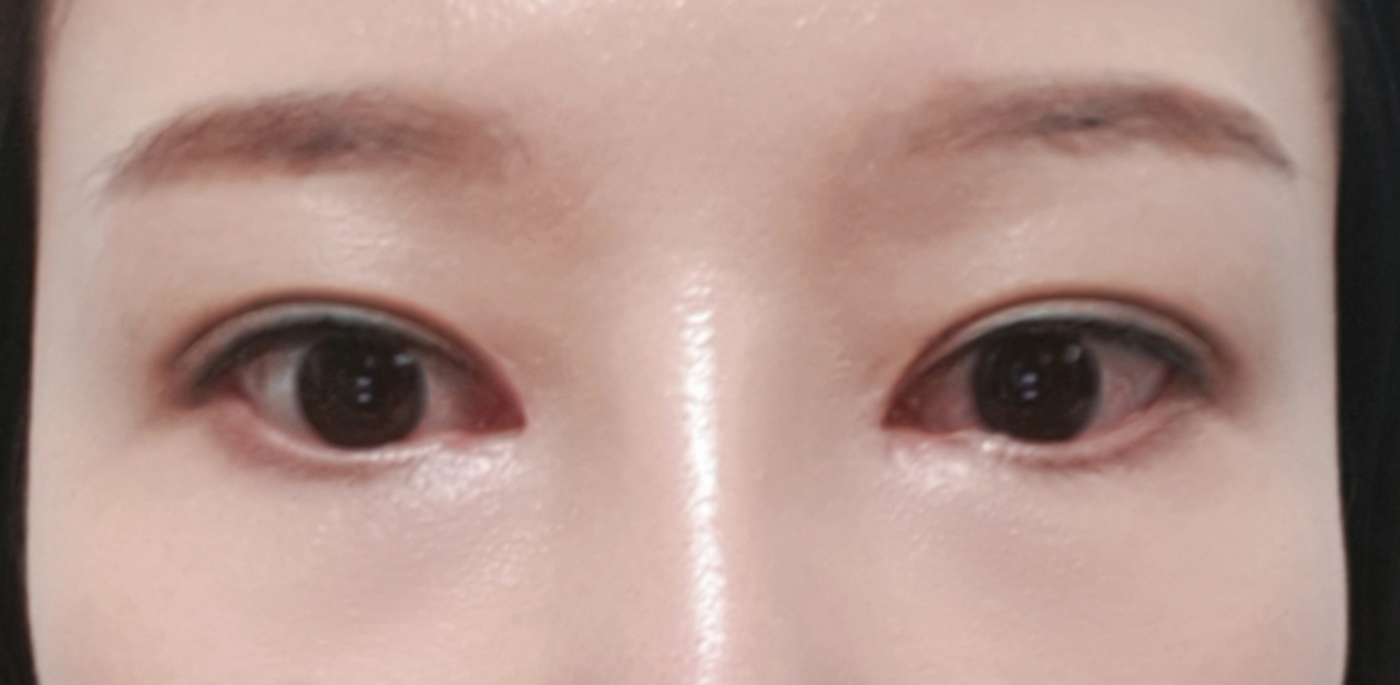
자려한라인으로 수술잘해주셨어요
NAME : 한수민
2025.09.15
눈,코재,이마거상 11개월차
NAME : 김세원
2025.09.09
복코성형 4개월차입니다!
NAME : 이유나
2025.09.03
매부리코성형 성공 ㅎ.ㅎ
NAME : 성다경
2025.08.26
코수술받고 자신감이 높아졌어요
NAME : 공윤정
2025.08.19
점점 자리잡고 있어 만족하며 지내요:)
NAME : 박선현
2025.08.13
눈, 코, 지방이식 만족후기~~
NAME : 이수정
2025.08.12
원하는 모양대로 코수술해주셨어요ㅎ.ㅎ
NAME : 이호윤
2025.08.06
바이브에서 수술받고 젊어졌어요~~~
NAME : 김영해
2025.07.29
유영문원장님이 예쁜 코 만들어 주셨어용><
NAME : 황현정
2025.07.23
저의 코버지 유원장님 감삼다~
NAME : 신슬빈
2025.07.21