Community
전후화보사진바이브에서 수술한 고객분들의 생생한 전후화보사진을 만나보세요







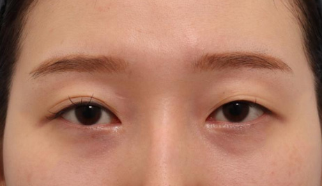
바이브성형외과에서
· 눈재수술
(절개쌍꺼풀)
· 코3번째재수술
(콧대, 코끝, 매부리코교정, 귀연골, 기증늑)
재수술 3개월 된 후기입니당
눈, 코 붓기가 다 빠진 줄 알았는데 시간 갈수록
더 자연스럽게 잔붓기가 빠지고 있는것 같아요
확실히 자리가 잡히니까 쌍커풀라인이랑 흉도
잘 안보이고 코 라인도 자연스럽고
얄쌍해진 것 같아 이대로만 유지되면 좋겠어요
불편한 거 없이 잘 지내고 있고
쌍커풀도 풀렸을때 , 매부리나 코끝 쳐져있을때 보다
자신감도 많이 생겨서 거울보는것도
즐겁고 사진찍는 것도 재밌어요 ❣
딱 제가 원하던 화려한 코 그자체라
유영문 원장님한테 너무 감사해요
눈코 너무 잘 해주셨어요 ㅎㅎ 최공
NAME : 손예은
2025.09.19
자려한라인으로 수술잘해주셨어요
NAME : 한수민
2025.09.15
눈,코재,이마거상 11개월차
NAME : 김세원
2025.09.09
복코성형 4개월차입니다!
NAME : 이유나
2025.09.03
매부리코성형 성공 ㅎ.ㅎ
NAME : 성다경
2025.08.26
코수술받고 자신감이 높아졌어요
NAME : 공윤정
2025.08.19
점점 자리잡고 있어 만족하며 지내요:)
NAME : 박선현
2025.08.13
눈, 코, 지방이식 만족후기~~
NAME : 이수정
2025.08.12
원하는 모양대로 코수술해주셨어요ㅎ.ㅎ
NAME : 이호윤
2025.08.06
바이브에서 수술받고 젊어졌어요~~~
NAME : 김영해
2025.07.29
유영문원장님이 예쁜 코 만들어 주셨어용><
NAME : 황현정
2025.07.23
저의 코버지 유원장님 감삼다~
NAME : 신슬빈
2025.07.21